Primary Sclerosing Cholangitis

Primary Biliary Cirrhosis Primary Sclerosing Cholangitis Cirrhosis

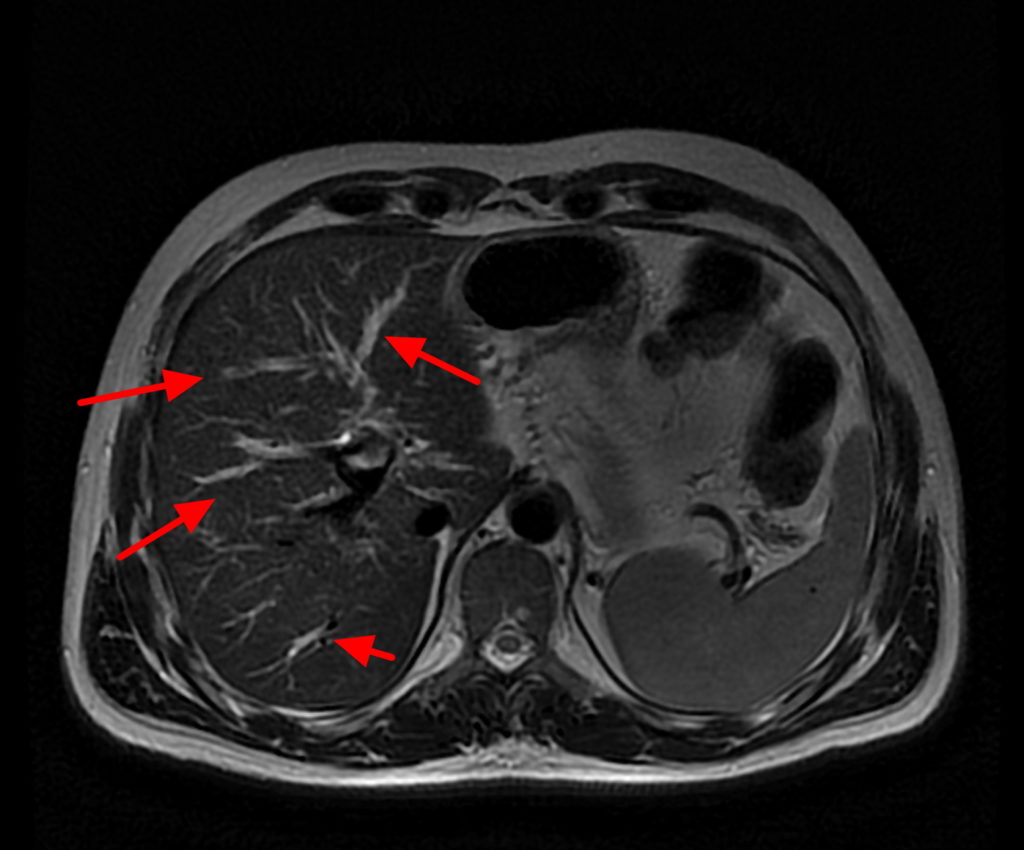
Primary Sclerosing Cholangitis. The bile duct system carries bile from the liver and gallbladder into the first. Bile ducts carry the digestive liquid bile from your liver to your.

Primary Biliary Cirrhosis Primary Sclerosing Cholangitis Cirrhosis
Primary Biliary Cirrhosis Primary Sclerosing Cholangitis Cirrhosis

Web primary sclerosing cholangitis (psc) is a chronic and progressive cholestatic liver disorder of unknown etiology. The bile duct system carries bile from the liver and gallbladder into the first. Web primary sclerosing cholangitis (psc) is a chronic, progressive disease of the bile duct system. Bile ducts carry the digestive liquid bile from your liver to your. Web primary sclerosing cholangitis (psc) is a disease of the bile ducts. It causes chronic inflammation in your bile ducts (cholangitis), which eventually causes scarring.

Web primary sclerosing cholangitis (psc) is a chronic, progressive disease of the bile duct system. Web primary sclerosing cholangitis (psc) is a disease of the bile ducts. Web primary sclerosing cholangitis (psc) is a chronic, progressive disease of the bile duct system. It causes chronic inflammation in your bile ducts (cholangitis), which eventually causes scarring. The bile duct system carries bile from the liver and gallbladder into the first. Bile ducts carry the digestive liquid bile from your liver to your. Web primary sclerosing cholangitis (psc) is a chronic and progressive cholestatic liver disorder of unknown etiology.