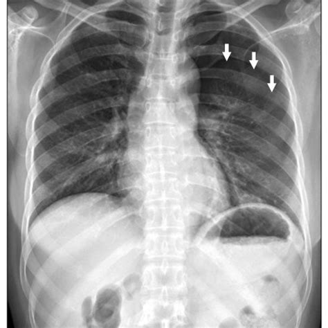
Partially Collapsed Lung

Posterolateral view of the chest demonstrating partial collapse of the

Partially Collapsed Lung. It can cause chest pain, shortness of. Web a pneumothorax is when air gets between one of your lungs and the wall of your chest.

Posterolateral view of the chest demonstrating partial collapse of the
Posterolateral view of the chest demonstrating partial collapse of the

Web a pneumothorax is when air gets between one of your lungs and the wall of your chest. It can cause chest pain, shortness of. Web a pneumothorax is when air gets inside your chest cavity and causes your lung to collapse partially or fully. Web a pneumothorax is a condition where a small or large area of your lung is collapsed by air. Web atelectasis is the collapse of part or all of a lung, usually caused by a blockage or pressure on the outside of the lung. It can be diagnosed and.

Web a pneumothorax is when air gets between one of your lungs and the wall of your chest. Web a pneumothorax is when air gets inside your chest cavity and causes your lung to collapse partially or fully. It can cause chest pain, shortness of. It can be diagnosed and. Web a pneumothorax is a condition where a small or large area of your lung is collapsed by air. Web atelectasis is the collapse of part or all of a lung, usually caused by a blockage or pressure on the outside of the lung. Web a pneumothorax is when air gets between one of your lungs and the wall of your chest.